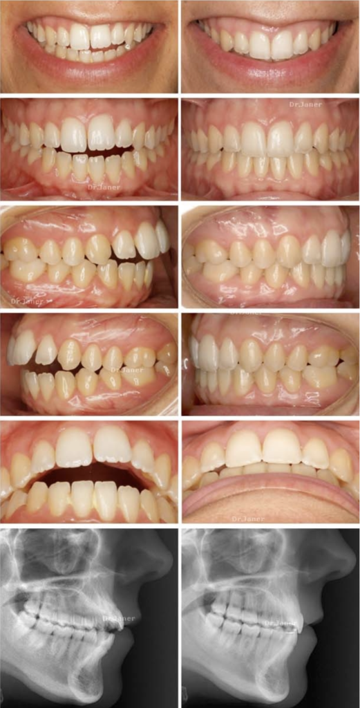
Invisalign Barcelona Resultado Paciente
Paciente con 34 y problemas de: apiñamiento dental y mordida abierta
Objetivos del tratamiento: alineamiento dental y cerrar mordida
Aparatología utilizada: brackets Damon
Resultados logrados en 15 meses de ortodoncia: alineamiento dental y cierre de mordida.
