Paciente con problemas simples
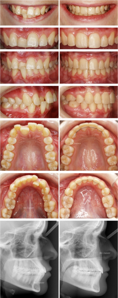
Paciente con 30 años y problemas de: dientes anteriores muy inclinados, mordida cruzada anterior y recesión gingival de un incisivo de la parte inferior.
Especialidades usadas: ortodoncia +/- periodoncia mucogingival -injerto de encía en incisivo inferior (41).
Resultados logrados en 26 meses de tratamiento: alineamiento dental, resolución de la mordida cruzada anterior, con extracciones dentales de cuatro premolares. (La recesión gingival mejora con la ortodoncia y se decide monitorizar la encía del incisivo)
